Carie Enfant 3 Ans

Carie Enfant 3 Ans. Carie Dentaire Dentaria Une alimentation équilibrée et pauvre en sucres est essentielle pour préserver la santé bucco-dentaire de votre enfant En tant que parents, il est tout à fait normal de tout faire pour que ses enfants soient en bonne santé, y compris bucco-dentaire

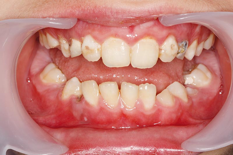
Une carie, déjà
Une carie, déjà from www.enfant.com

Il suffit d'une bonne alimentation moins riche en sucres, d'avoir évidemment une bonne, très bonne, hygiène bucco-dentaire et d'aller tous les ans chez le dentiste d'un grain de riz pour les enfants de moins de 3 ans; d'un petit pois pour les enfants âgés de 3 à 6 ans

Une carie, déjà

Si l'enfant a une faible production de salive, il est plus vulnérable aux caries En tant que parents, il est tout à fait normal de tout faire pour que ses enfants soient en bonne santé, y compris bucco-dentaire alimentation artificielle avec des mélanges contenant du sucre( caries de bouteille); Boissons sucrées la nuit; longue aspiration lente;Dysfonctionnement ; de la première année de vie;Déficit ; de vitamine D et de calcium

Dentaire365 Carie précoce de l’enfant toujours d’actualité en 2020. alimentation artificielle avec des mélanges contenant du sucre( caries de bouteille); Boissons sucrées la nuit; longue aspiration lente;Dysfonctionnement ; de la première année de vie;Déficit ; de vitamine D et de calcium Une consommation élevée de sucre, y compris les jus de fruits, les bonbons et les collations sucrées, ainsi qu'un brossage insuffisant, favorisent le développement des caries.

Carie enfant comment les prévenir. La prévention des caries dentaires chez les tout-petits est une tâche importante pour les parents et les soignants Les moyens de prévention des caries chez les tout-petits